TEETH - STRAIGHTENING TREATMENT
SERVICES
RESOURCES
SHOP
MEDICAL CERTIFICATIONS
Certifications ensuring safety, quality, and compliance with global standards.
Certifications ensuring safety, quality, and compliance with global standards.
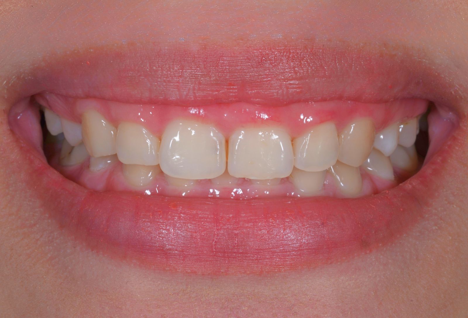
A gummy smile happens when more of the upper gums show than usual when you smile. Some people also call this a gum smile, or refer to it as gummy teeth. It can make the teeth appear shorter or change the overall look of your smile. While it doesn’t usually affect oral health, many people feel self-conscious about how their smile looks.
There is no “right” or “wrong” smile, but understanding why a gummy smile happens can help you decide whether treatment is something you want to explore.
A gum smile can be caused by one or a combination of the following factors:
Some people naturally have more gum tissue covering their teeth. This extra tissue can make the teeth look shorter than they really are, which makes the gums more noticeable when smiling.
Teeth that are naturally short or have worn down over time can cause the gums to appear more prominent. This can affect the overall balance of the smile and make the gums more visible.
An upper lip that lifts higher than usual when smiling can reveal more of the gums. In addition, certain jaw positions or movements may also contribute to a more prominent gum display.
When teeth are not properly aligned, it can influence how much of the gums are visible, especially while biting or smiling. Misaligned teeth can sometimes make the gums appear uneven or more pronounced.
Not everyone notices immediately if they have a gum smile. Here are some common signs to look out for:
Visible upper gums: A significant portion of the gums shows above the teeth when smiling.
Short-looking teeth: Teeth may appear smaller than they actually are due to gum coverage.
Uneven smile appearance: The smile may look asymmetrical or unbalanced.
Noticeable in expressions: The gums are more visible in certain facial expressions, like laughing or wide smiles.
Recognising these signs helps you understand your smile better and decide whether you want to explore treatments.
In most cases, a gum smile is not a medical or dental health problem. However, if it is linked to poor oral hygiene or gum inflammation, it is essential to focus on maintaining healthy gums first.
Maintaining good gum care — such as proper brushing, flossing, and regular dental check-ups — helps ensure the gums remain firm, pink, and healthy.

Treatment for a gum smile depends on the underlying cause and personal preference. Some common approaches include:
Whether or not you seek treatment, healthy gums play a key role in a confident smile. Simple habits can make a big difference:
Good gum care helps maintain both oral health and appearance over time.
A gummy smile is a natural variation of the smile and is more common than many people realise. While it doesn’t usually require treatment, modern dental options are available for those who wish to improve the appearance of their smile.
Understanding the cause is the first step, and from there, you can decide what feels right for you. If you’re interested in orthodontic solutions, get a smile consultation today.
Get a smile consultation today to explore more about your teeth straightening options and begin your smile improvement journey.
Diploma Graduation: The Start of Something New Graduating with a diploma is a major milestone — but more importantly, it ...
29 April 2026
With an established presence in Thailand since 2021, Dr Clear Aligners continues to build on its regional footprint through a ...
16 April 2026
Brushing your teeth while wearing braces is a bit more challenging than brushing natural teeth alone, but it’s essential for ...
3 February 2026
What Is a Bridge for Dental Treatment? Missing teeth can affect more than just your appearance. They may affect ...
26 January 2026
Flossing is one of the most important (and most skipped) parts of oral hygiene. Many people brush twice a day ...
5 January 2026
